Törstens tysta terror: Det här händer om du slutar dricka vatten
Att vara törstig är något vi alla upplevt, kanske efter en lång vandring i fjällen, en varm sommardag i Småland eller ett träningspass på gymmet. Men har du någonsin funderat på vad som faktiskt händer med kroppen om du helt enkelt slutar dricka vatten? I en värld där vi ofta tar tillgången på rent vatten för given, är det kanske dags att ta ett djupdyk i kroppens desperata kamp utan denna livsviktiga resurs.
Vatten som livets grundsten
Vatten är inte bara något vi häller i kaffebryggaren eller fyller vår sportflaska med. Det är själva livets molekyl. Hela 65 % av din kropp består av vatten, och det finns inte ett enda organ eller system i dig som klarar sig utan det.
Som kroppens egen kurir transporterar vatten näringsämnen och hormoner dit de behövs, reglerar kroppstemperaturen (hej svett!), smörjer lederna och håller ögonen klara. Varje dag förlorar vi ungefär 2,5 liter vätska genom urin, svett, andning och avföring. All denna vätska måste ersättas, annars börjar kroppen protestera.
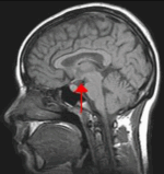
Hypotalamus – din inre törstkompass

Djupt inne i hjärnan sitter hypotalamus – kroppens egen vattenväktare. Den läser av blodets salthalt och vätskenivåer i realtid, ungefär som en känslig väderstation. Märker den att du svettats för mycket eller har låg blodvolym så skickar den en signal som översätts till en tydlig känsla: drick något – NU.
Fem dagar utan vatten
Låt oss nu gå igenom vad som händer i kroppen om du slutar dricka vatten.
Dag 1: Torkans första varningsskott
Om du trots signalerna inte dricker något börjar problemen ganska snart. Först märker du en torr mun – inte så farligt kanske. Men snart blir din urin mörkgul och luktar starkt, eftersom kroppen försöker spara på varje droppe.
Hjärnan, som är extra beroende av vatten, börjar bokstavligen att krympa. Du kan känna dig snurrig, få långsammare reaktioner och sämre smärtkänsla. I experiment där deltagare testat uppgifter i uttorkat tillstånd krävdes mer hjärnkraft och syre för samma resultat jämfört med vätskefyllda hjärnor.
Dag 2–3: Kroppen börjar prioritera bort funktioner
Efter ett par dygn utan vätska slutar du kissa helt. Att svälja blir svårt, muskelkramper sätter in, och illamående är vanligt. Matsmältningen stängs mer eller mindre ner eftersom kroppen har viktigare saker att fokusera på.
Det är nu kroppen ställer in sig på överlevnadsläge. Hjärtat slår snabbare och huden får en kallgrå nyans eftersom blodet slutar cirkulera ytligt – allt för att bevara kroppens värme och inre funktioner.
Dag 4–5: Den slutgiltiga nedstängningen
Om du fortsätter utan vätska längre än tre till fem dygn börjar kroppens organ att stänga ner, ett efter ett. Njurar, lever och slutligen hjärnan ger upp. I slutskedet blir många förvirrade, får hallucinationer eller blir medvetslösa – ett tillstånd som ofta förväxlas med delirium, särskilt hos äldre.
Intressant nog visar forskning att många äldre som drabbas av förvirring på sjukhus helt enkelt är kroniskt uttorkade.
Vattnets paradox: Så nära men ändå så svårtillgängligt

Här på jorden finns vatten överallt, men ändå inte. Endast 2,5 % av allt vatten på jorden är sötvatten, och det mesta av detta är infruset i glaciärer eller djupt under marken i så kallade akviferer. Det lämnar mindre än 1 % som faktiskt är tillgängligt för oss att dricka.
Och hur används detta vatten? I USA går 500 miljarder liter om dagen till jordbruket, och lika mycket används för att kyla elkraftverk. Med en ökande befolkning och klimatförändringar är trycket enormt på våra vattenresurser.
Sverige – ett vattenrikt undantag?
Vi svenskar kanske känner oss trygga när det kommer till vårt vatten. Vi har ju fjällbäckar, insjöar och regn i överflöd. Men även här finns utmaningar. På Gotland har grundvattnet vid flera tillfällen varit så lågt att vattenransonering införts, och i vissa delar av Norrland förorenas vattenkällor av gamla gruvor och industriverksamhet.
Rent vatten är inget man bör ta för givet – inte ens i ett land som Sverige.
Framtidens vatten: Från rymdtoaletter till lokal innovation
När astronauter på den internationella rymdstationen kissar, vet de att vätskan inte är förlorad. Tack vare NASA:s avancerade reningsteknik omvandlas urinen till dricksvatten – renare än det vi får ur kranen. Den tekniken börjar nu testas även på jorden i områden med vattenbrist.
Samtidigt växer intresset för småskaliga, bärbara vattenreningssystem – något varje prepper med självrespekt bör ha i sin bug out bag. Från enkla kolfilter till avancerade UV-renare finns idag lösningar som gör leriga älvvatten till säkert dricksvatten.
Avslutningsvis: Vatten är värt att skydda – och att bära med sig

Om du slutar dricka vatten sker en snabb, tyst nedmontering av allt som gör dig levande. Törst är inte bara en signal – det är kroppens skrik på hjälp.
Så nästa gång du fyller på din vattenflaska, tänk på att du inte bara släcker törsten. Du köper dig själv mer tid, mer klarhet och mer liv. I en värld där vattenbrist är ett växande problem är kunskap, beredskap och respekt för varje droppe viktigare än någonsin.
Tips till svenska preppers:
- Ha alltid vattenreningstabletter eller filter i din krislåda.
- Lär dig hitta vatten i naturen – myrmarker, björkris och snö är potentiella källor.
- Förvara dunkar med vatten hemma – minst 3 liter per person och dag för en vecka.
- Glöm inte: även matlagning och hygien kräver vatten.
Vatten är liv – bokstavligen. Så behandla det därefter.
.
Läs vidare: Hur länge kan man överleva utan mat och vatten? Kroppens desperata kamp i svält och törst
